Ad Code

Groin Area Skin Cancer Groin : Vulvar Cancer Causes Symptoms And Treatments - A surgical procedure called a sentinel lymph node biopsy (slnb) removes the first lymph node in a chain or group of lymph nodes that a particular cancer is most likely to spread to.

Groin Area Skin Cancer Groin : Vulvar Cancer Causes Symptoms And Treatments - A surgical procedure called a sentinel lymph node biopsy (slnb) removes the first lymph node in a chain or group of lymph nodes that a particular cancer is most likely to spread to.. The skin, multiply and cause infection. Common areas where the lymph nodes can be felt include the groin area, armpit, the neck, under the jaw and chin, behind the ears, and below the occiput (prominence on the back of the head). The conditions fungi like best are warm, moist and airless areas of skin, such as. Swollen lymph nodes, or swollen glands, are a symptom of many illnesses—from the common cold to some forms of cancer—and a sign that something is wrong in the body. There are many types of skin cancer, each of which can look different on the skin.

Metastasis is the term used for cancers which spread beyond their point of origin to infect surrounding tissue. Dark, thicker patches of skin: 32 yrs old male asked about cracked skin at groin region., 1 doctor answered this and 1845 people found it useful. How to use lemon for skin lightening. Squamous cell carcinoma groin lymph nodes unknown primary.

I Almost Died 3 Stories Of Melanoma Recovery And Lessons Learned Johnson Johnson
I Almost Died 3 Stories Of Melanoma Recovery And Lessons Learned Johnson Johnson from jnj-content-lab.brightspotcdn.com
Suggested skin care tips, returning gradually to your usual skin care regime when your skin has returned to normal. I was first diagnosed with squamous cell carcinoma of the right groin lymph nodes with unknown primary in august, 2009. The whole area is still red, but instead of a rash, it looks like 2nd or 3rd degree burns to my entire groin area, with some areas still seeping, and others beginning to develop scabs, which i guess means i'm healing. An itchy crotch can be a bummer. Last week or so the ache is on both side in my groin and armpit areas. Patients having the condition generally experience reddened plaques, which are slightly raised skin patches, or crusted skin eruptions. A lump in this area of the body could be sign of condition. Does anyone have any experience to share with me please.

Some types of fungal germs (fungi) are commonly found on human skin.

How to use lemon for skin lightening. Our belly fat, double chins, and arm flabs are all examples of subcutaneous fat. Infection spread over groin resulting in cellulitis, boil or furuncle causes severe groin pain. Apply lemon juice directly using a cotton dab over the groin area. The skin around the groin area can be just as sensitive as the skin of the face. A lump in this area of the body could be sign of condition. Types of skin cancer include: However, if conditions are right they can 'invade' Blood clots in the groin. Vitamin c decreases the melanin synthesis and thus reduces the darkening of the skin. The medical term for a blood clot is thrombus. Patients having the condition generally experience reddened plaques, which are slightly raised skin patches, or crusted skin eruptions. Red spots in the groin of men are also found in other diseases, including venereal diseases.

One type in particular appears in the armpits, groin region, and on the sides of the neck. Fungal groin infection (tinea cruris) is a fungal skin infection of the groin. The swelling or enlargement, called lymphadenopathy, occurs in the lymph nodes when they're filtering cells affected by a condition, such as an infection, injury or cancer. Bathing regularly with antibacterial soap and washing thoroughly between the folds of skin, particularly after working out. A feeling of heaviness in the scrotum;

Tinea Cruris Wikipedia
Tinea Cruris Wikipedia from upload.wikimedia.org
The study analyzes which people have groin pain with prostate cancer. The whole area is still red, but instead of a rash, it looks like 2nd or 3rd degree burns to my entire groin area, with some areas still seeping, and others beginning to develop scabs, which i guess means i'm healing. Jock itch usually begins with a reddened area of skin in the crease in the groin. Nodes in the groin region (called the inguinal or femoral lymph nodes) may grow in size as a result of an injury or infection in your foot, leg, groin, or vagina. Birth control pills can cause a woman to have dark groin skin. The conditions fungi like best are warm, moist and airless areas of skin, such as. This picture gallery contains some examples of the more common. groin pain can be a symptom of advanced cervical cancer, which potentially signals metastasis.

These symptoms may occur as a result of conditions unrelated to testicular cancer.

It's not a condition in itself but a. Yorkie maltese mix 3 years old. The rash has cleared up. I had cup in the left groin lymph nodes back in 2001. However, if conditions are right they can 'invade' Know what can cause pain in groin area. This is commonly seen together with obesity, resulting from diabetes type 2 or other conditions that affect the levels of insulin. Birth control pills can cause a woman to have dark groin skin. Hi i had radical surgery 17 days ago for squamous cell cancer in my groin. A swelling and/or lump in one or both of the testes; A feeling of heaviness in the scrotum; The cancer has spread to distant parts of the body (any t, any n, m1). The medical term for a blood clot is thrombus.

After surgery, i had 4 treatments of a combination of carboplatin and taxol, followed by 25 radiation treatments to the area. The cancer has spread to distant parts of the body (any t, any n, m1). In rare cases, hip pain is caused by cancer of the bone or cartilage in the hip joint. The cancer has spread to 1 or more of the pelvic lymph nodes (any t, n3, any m). You may also massage the area for a few minutes.

Is It Skin Cancer Or Just An Ingrown Hair Molemap Australia
Is It Skin Cancer Or Just An Ingrown Hair Molemap Australia from molemap.s3.amazonaws.com
I was first diagnosed with squamous cell carcinoma of the right groin lymph nodes with unknown primary in august, 2009. The rash has cleared up. On the 18th i had noticed a lump in the lymph node in my right groin. If you are experiencing any of the above conditions, you may want to see a doctor. A blood clot that forms in the upper leg vein is called a femoral vein thrombosis. Bathing regularly with antibacterial soap and washing thoroughly between the folds of skin, particularly after working out. Jock itch usually begins with a reddened area of skin in the crease in the groin. Get your query answered 24*7 only on | practo consult

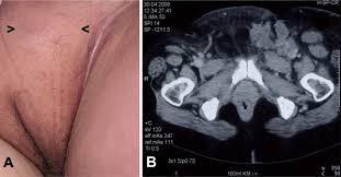
The groin is an uncommon place to get a skin cancer as it is not exposed to the sun as much as other parts of the body.

I also finished the ebrt mid february 2020. This is the only type of fat that is visible from the outside. Now his hind leg is sore and it seem swollen on 1 side in his groin area.? Nodes in the groin region (called the inguinal or femoral lymph nodes) may grow in size as a result of an injury or infection in your foot, leg, groin, or vagina. But scratching only makes the situation worse. Dark, thicker patches of skin: cancer and bumps that keep getting bigger; It was poorly differentiated, but had similarities to both squamous and small cell cancer, so i was treated with chemotherapies that worked for both of those types. Learn more about how to deal with. Patients having the condition generally experience reddened plaques, which are slightly raised skin patches, or crusted skin eruptions. A swelling and/or lump in one or both of the testes; groin pain and swelling could be red flags for males and potentially indicate many different conditions such as swollen lymph nodes in the male groin area or a hernia. I am healing well they tell me but i have dreadful nerve pain down the inside of my leg especially at night and walking is very difficult.

In order to do so a larger incision extending up toward the abdomen must be made skin cancer groin. It is usually caused by an unrelated underlying condition, like diabetes, cancer, or other disease or disorder.

Post a Comment

0 Comments